
近日,一面承載著深厚感激之情的錦旗送到了柳州市人民醫院健康管理中心。錦旗上“精準體檢查隱患,仁心醫者護生命”的金色大字熠熠生輝,獲救員工企業負責人專程前來,對健康管理中心全體醫護人員表達誠摯謝意。這面錦旗背后,是一場與死神賽跑的生命救援,也是柳人醫健康管理“防-診-救”閉環理念的生動實踐。

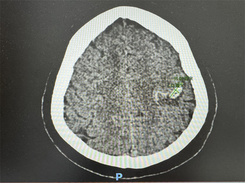
事件的緊迫性始于一次常規的健康體檢。當天上午,柳州市人民醫院健康管理中心的醫務人員接到放射科發出的危急值報告:一位今早來院體檢的人員,其頭顱CT檢查結果提示左側額葉新發腦出血伴少量蛛網膜下腔出血。這一結果意味著該體檢者顱內正在出血,病情極其兇險,隨時可能發生猝死,生命危在旦夕。

時間就是生命!健康管理中心醫務人員在獲知危急值的第一時間,迅速通過電話告知患者這一緊急情況,同步啟動應急響應機制與健康體檢專項應急預案。
中心緊急協調醫院相關科室,為患者開通救治綠色通道?;颊呓拥酵ㄖ蠹纯谭祷蒯t院急診醫學科就診。在健康管理中心高效有序的組織下,院內各部門無縫銜接、爭分奪秒,為后續順利高效的救治爭取到了寶貴的黃金時間窗。

得益于健康管理中心規范、精準、高效的前期篩查與快速處置,以及神經外科團隊的及時專業救治,患者最終轉危為安,病情得到有效控制并逐步康復。
在后續的電話回訪中,患者恢復狀況良好,言語間充滿了感激:“這次體檢真的做到了早發現早治療,是你們挽救了我的生命!”聽到患者日漸康復的消息,參與救治的健康管理中心醫護人員倍感欣慰,職業價值感油然而生。

柳州市人民醫院健康管理中心主任王棟棟表示:“這個成功救治的案例,正是我們踐行全周期健康管理理念的一個縮影。從日常的體檢數據采集與嚴謹追蹤,到面對突發險情時的快速響應與規范處置,我們致力于構建并完善‘預防-篩查-診斷-救治’的完整閉環管理體系。健康管理的核心價值,就在于能夠早期發現潛在風險,并及時干預,從而真正守護住人民群眾的生命健康防線?!?/p>
此次成功救治腦出血患者的事件,不僅是對柳州市人民醫院急診綠色通道高效運轉能力的實戰檢驗,更是對院內多學科緊密協作精神的詮釋,彰顯了醫院在急危重癥救治方面的專業實力和以患者為中心的服務宗旨。
柳人醫健康管理中心將以此次事件為激勵,持續精進醫療技術,不斷優化服務流程,致力于為每一位市民提供更加優質、高效、舒適的健康體檢與健康管理服務,切實筑牢守護市民健康的第一道堅實屏障。
健康小貼士
腦出血的定義:腦出血是指非外傷性腦實質內出血,病因多樣,絕大多數是由高血壓合并小動脈硬化的血管破裂引起。
腦出血的常見誘因:長期未控制的高血壓、動脈硬化、腦血管畸形(如動靜脈畸形)、動脈瘤以及某些生活習慣因素,如過度飲酒、吸煙、肥胖和缺乏體育鍛煉等。
腦出血的常見癥狀:突發劇烈頭痛、惡心嘔吐(常為噴射狀)、意識水平下降(從嗜睡至昏迷)、肢體偏癱、語言障礙及視力問題等。
腦出血的預防:控制高血壓、避免過度勞累和精神緊張、戒煙限酒、合理飲食、適量運動、定期體檢等。