你是否曾因牙縫問題
在微笑時總是遮遮掩掩
不敢盡情展現自己的魅力?
現在,有一種神奇的修復技術
能讓你告別這些煩惱
重拾自信笑容
它就是瓷貼面修復!
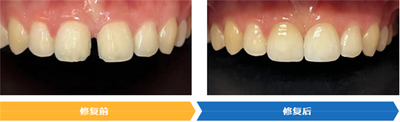
日前,柳州市人民醫院口腔科門診來了一位被門牙牙縫較大的問題深深困擾的年輕姑娘小陳(化名),曲曉東團隊的主診醫生熱情地接待了她。
小陳告訴醫生,為了改善這一狀況,她在外院嘗試了修復治療,然而,這次經歷卻成為了她的噩夢。不僅牙縫問題依舊存在,牙齒還變得異常敏感,這讓她在社交場合中越發自卑,曾經燦爛的笑容也漸漸消失不見。此后,一想到要進行二次修復,她就滿心恐懼,害怕再次遭受失敗的打擊。
主診醫生初步診查后,迅速判斷小陳屬于前牙美學修復復雜病例,并將她分診至專業對口的高年資醫師處。接診醫生不僅專業,還十分貼心。詳細詢問了她的修復過往、日常口腔習慣后,又耐心地安撫她緊張的情緒,讓她逐漸放松下來。醫生對她的牙齒進行了全面細致的 “勘查”,為她量身定制了專屬的瓷貼面修復方案,并詳細講解了整個治療流程和預期效果,讓小陳心中的疑慮漸漸消散,并充滿了期待。

醫生在處理牙齒表面時,嚴格把控磨牙量,在確保瓷貼面能夠牢固粘接的同時,最大程度地保留了健康的牙體組織,守護住了牙齒的 “根基”。挑選材料和顏色時,醫生充分尊重小陳的意愿,與她一起反復比對,最終選出了與她原有牙齒完美匹配的材料和色澤,力求達到自然美觀的最佳效果。

修復后,當小陳看到鏡子中的牙齒時,驚喜得幾乎不敢相信自己的眼睛:牙齒變得整齊潔白、美觀自然,而且沒有不適的感覺。“真的沒想到效果會這么好,終于可以美美拍照了!感謝醫生的精湛醫術,還有醫護團隊的貼心服務!”小陳向醫護團隊表達了深深感謝。
柳州市人民醫院口腔科始終秉持團隊服務理念,通過首席專家團隊服務模式精確分診,分級診療,為患者量身定制個性化的治療方案,致力于讓溫暖美好的笑容再次綻放在每一個人的齒間,真正實現美麗無 “縫” 銜接!
那么
快跟著小編來了解一下
瓷貼面修復吧!
1.什么是瓷貼面?
瓷貼面是一種牙齒修復體。在相對少磨牙的情況下,對牙體表面缺損、著色牙、變色牙等用瓷修復材料粘結覆蓋其表面,恢復牙體的正常形態和改善其色澤。
2.瓷貼面的優點
? 美觀自然,媲美真牙
? 磨牙量少,對牙齒損傷小
? 生物相容性好,無過敏反應
? 易于清潔,舒適耐用
3.瓷貼面的適應癥
? 輕、中度的變色牙或遺傳性黃牙。
? 釉質發育不全、過小畸形牙等形態輕度異常的牙齒。
? 輕度齲壞、外傷等因素導致的牙齒唇面、切端或牙尖釉質缺損。
? 牙齒之間輕度的散在間隙,牙齒輕度扭轉,無正畸意愿的咬合基本正常的牙齒。
4.瓷貼面的保養
? 飲食注意:盡量不要食用濃茶、咖啡等顏色深的食物或飲品,避免色素沉著影響貼面效果;勿咀嚼過硬的食物,像堅果、骨頭等,防止瓷貼面崩碎裂或者脫落。
? 口腔衛生:保持良好的口腔衛生習慣,正確刷牙及使用牙縫清潔工具。
? 定期檢查:定期進行口腔檢查和復查非常重要,有助于預防口腔疾病并延長修復體的使用壽命?。