魚肉鮮美,能夠補充優質蛋白質,是許多人的心頭好,但在吃魚的過程中,稍有不注意,就容易出現魚刺扎入口腔深部的情況。
65歲的李先生(化名)被一根2cm的魚刺困擾了10余天,只因吃魚時不小心在舌頭下面卡了根魚刺,最后竟需要經歷一場全麻手術才得以取出,這到底是怎么回事?
貿然自取險壞事
“沒有及時就醫,用手指撥、吞飯團、喝醋、劇烈咳嗽,統統不管用,不僅沒能取出魚刺,反而越扎越深了……”李先生的家人苦悶地說。原來,李先生被魚刺扎入舌根后,就想通過上述方式自行取出魚刺,結果折騰了10多天,舌根深部疼痛不斷加劇,頸部也開始腫脹。這時候,李先生的家人們慌了,趕緊把他送到柳州市人民醫院就診。
通過問診、專科查體及口咽部CT檢查,口腔科團隊很快為李先生明確了診斷,并定位魚刺已經穿透口底粘膜,沒入舌下肌肉深部,相應部位口咽腔腫脹變窄。

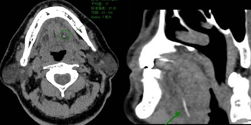
▲術前口咽部CT(魚刺位于綠色指示區)
柳州市人民醫院口腔科主任宋勇博士介紹:魚刺剛嵌入的時候可能還沒有扎得那么深,如果這個時候不恰當地用手指撥、吞飯團等土方法,在手指和食物的壓力下魚刺可能越嵌越深,沒入組織的深層,引起周圍發炎腫脹,嚴重時可能出現窒息;若強行采用吞物“拔刺”的方法,魚刺可能劃傷食道引發感染,更嚴重者可能會刺破食管、胸主動脈等,危及生命,一個不小心,小小魚刺會帶來致命的二次傷害!
超聲定位巧取刺
由于人體舌、口底部肌肉纖維千絲萬縷,想取出夾雜在肌束之內的魚刺猶如“大海撈針”,手術難度可想而知。口腔科團隊立即針對難點進行了病例討論,制定周詳的手術方案。主診醫師陳裕聰副主任醫師表示,手術的關鍵點在于魚刺的精確定位及避免魚刺再次移位,且要注意保護重要的血管和神經,最終決定實施在超聲引導下的魚刺探查手術。

隨后,李先生順利地接受了手術治療,醫生在很深的位置找到了那根2cm長的細魚刺,魚刺周圍已經發炎化膿,原本白色的魚刺在炎癥反應下已經發黑。

▲取出2cm長的魚刺,根部已經發黑
魚刺順利取出,李先生的心情立即由陰轉晴,向口腔科團隊豎起大拇指:“我以后吃魚可得小心點嘍,大家遇到問題一定要及時就醫,柳人醫口腔科永遠值得信賴!”目前,患者已經順利康復出院。
醫生提醒:小心“狡猾”的魚刺
1.土方法不可取
粗大的手指比不上醫生專業精巧的異物鉗,盲目摸索魚刺,不僅不能取出,還會將魚刺推入組織更深處,造成更嚴重的傷害。
還有很多人認為飯團、饅頭等可以將魚刺包裹后帶到胃部。其實不然,吞飯團、饅頭等做法有可能使魚刺在食物的擠壓下刺入喉嚨深處,反而增加魚刺拔出的難度。
魚刺卡喉后通過喝醋的方式軟化魚刺,這也是一種常見的錯誤方法,有人認為喝醋可以將魚刺軟化,因為醋中含的醋酸能夠與魚刺中所含的鈣發生化學反應。然而事實并非如此,因為喝醋后醋液會迅速從咽喉流入食道,不會在魚刺處長時間停留,所以根本就不能起到軟化魚刺的作用,反而會加劇喉嚨黏膜水腫的癥狀,增加魚刺卡喉的不適感。
2.及時就醫
被魚刺扎傷,首先要保持鎮靜,停止進食進水,立即到就近的醫院進行診治,醫生通常會用專業的器械檢查,找到并取出魚刺,如果沒有找到魚刺,可能魚刺已經順著食管進入胃中了,此時要判斷魚刺的性質,如果胃部沒有不適癥狀,可不做特殊處理,魚刺會在胃液作用下逐漸變軟,可隨糞便排出體外,但如果魚刺較大較硬,可能導致胃痛等癥狀,此時需通過胃鏡等方法將魚刺取出。
專家提示:生活中應注意清淡飲食,避免進食過硬、過熱的食物,吃飯時要細嚼慢咽,不要邊吃邊說笑,魚刺等異物卡入口腔一定要科學處理,以免加重病情!