孩子們天性活潑好動,奔跑、打球、玩鬧中,摔傷磕碰難免發生,而牙齒受傷后能否及時、正確地處理,影響著孩子的正常生活。
近日,柳州市人民醫院口腔科為一名10歲患兒實施了兩顆年輕恒前牙的精細修復治療,不僅挽回了孩子的笑容,也贏得了家長的高度認可。
奇奇(化名)是一名活潑可愛的小女孩,她與小伙伴追逐時不慎摔倒,磕斷了兩顆剛剛換出不久的大門牙。
來到曲曉東首席專家團隊的診室時,孩子始終低著頭,用上嘴唇使勁蓋住缺損的牙齒,一言不發。
奇奇媽媽焦急萬分:“她才10歲,這是剛換出來的新牙,要用一輩子的……”

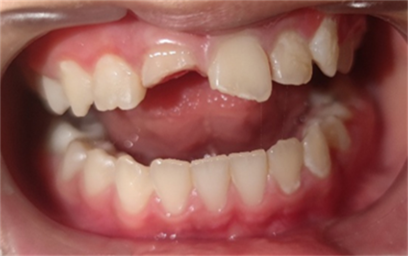
術前
經接診醫生仔細檢查,發現兩顆牙齒的情況各不相同:
一顆斷得較淺,牙神經未暴露,但斷裂的牙片已丟失,需進行直接充填修復;
另一顆斷得較深,牙神經暴露,且由于孩子年齡小,牙根尚未發育完成,情況更為復雜。
醫生解釋:“這顆露神經的牙齒需要先做活髓切斷術,把感染的牙神經切掉,保留活的牙根神經,讓牙根繼續發育,然后進行斷冠再接術。手術結果與外傷后的治療時間密切相關,所以你們及時送孩子來,是非常正確的!”

家長聽了醫生的解釋,心里踏實了許多,當即同意按方案進行治療。
治療過程中,醫生在局部麻醉下,于顯微鏡中精細操作,先處理暴露的牙神經,再仔細清理斷片斷面,經過酸蝕、粘接、光照等步驟,將斷裂的牙齒碎片粘回原位。另一顆牙齒則采用與牙色一致的材料進行直接充填修復。

術后
治療結束后,奇奇對著鏡子愣住了,她試著抿了抿嘴,又齜著牙笑了笑,激動地說:“媽媽,我的牙回來了,跟原來的一模一樣!”
奇奇媽媽湊近細看,連連贊嘆:“真的看不出來,顏色、形狀都跟原來差不多?!?/p>
醫生特別叮囑,露神經的那顆牙需要長期觀察,建議術后一個月、三個月、半年定期復查。近日,奇奇按時回院復查,恢復情況良好,患牙無任何不適,笑容也更加自信自然。
這一案例再次提醒廣大家長:孩子牙外傷后,切勿慌亂,應盡快就醫,爭取最佳治療時機。柳州市人民醫院口腔科首席專家團隊將為每一位小患者重塑健康笑容,守護他們成長的每一步。