如何在完整切除頜面部腫瘤治療疾病的同時,還能整形修復,恢復患者的功能與容貌,一直是頜面外科領域面臨的難題。柳州市人民醫院口腔科經過不斷發展,技術實力雄厚,如今不僅能“治”還能兼顧“美”,從功能到外形更好地滿足患者需求,提高生活質量,為廣大頜面腫瘤患者帶去了新的希望。
日前,柳人醫口腔科就為一名下頜長出“排球”般大小腫瘤的女性患者恢復了健康和美麗。
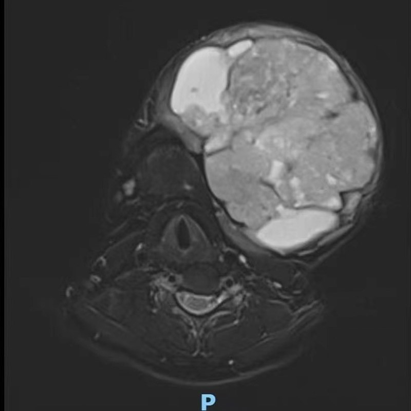
四年前,劉女士(化名)發現左邊下巴處長了一個鴨蛋大小的包塊,由于腫塊位于口腔內部,不痛不癢,劉女士也就任其自然發展。沒想到此后腫塊越來越大,四年時間已發展至一個排球般大小,導致其面部嚴重變形,牙齒脫落,發音受到影響。自此,劉女士變得沉默少語,也不愿意出門,加之進食困難,身形日漸消瘦。

無奈之下,近日,劉女士在家人的陪同下來到了柳州市人民醫院口腔科就診。接診的副主任醫師劉彥杰看到患者情況后也有些吃驚,這是他從醫多年見過的最大的下頜骨腫瘤。經檢查發現,腫瘤已經完全侵犯患者左邊下頜骨,口腔內還有一大塊腫瘤暴露,左下牙已經完全被腫瘤侵犯消失,腫瘤很容易出血,上頜骨也被腫瘤壓迫變形。好在腫瘤表面皮膚還比較完整,可以用來做術后口腔缺損的修復。

患者入院后活檢結果為成釉細胞瘤,成釉細胞瘤是常見的牙源性上皮性良性腫瘤之一,又稱造釉細胞瘤,該病初期發展緩慢,無自覺癥狀。逐漸發展可使頜骨膨大,造成畸形,左右面部不對稱。腫瘤侵犯牙槽骨時,會使牙松動、移位或脫落;腫瘤繼續增大,會使頜骨外骨板變薄,甚至吸收,這時腫瘤可以入侵軟組織;當腫瘤壓迫下牙槽神經,患側下唇及頰部可能感覺麻木不適;如腫瘤發展很大,骨質破壞較多,會發生病理性骨折。
口腔科立即在科內開展了病例討論,考慮到患者下頜腫塊異常巨大,再結合其經濟狀況,首要治療就是先切除腫瘤,二期手術再進行下頜骨的修復重建。該手術的難點主要體現在兩方面:第一是精準切除腫瘤,需要腫瘤切除醫生團隊積累沉淀豐富手術經驗,才能把腫瘤完整切除;第二是對缺損部位進行外形、功能的精確修復,這一步相對更難、更復雜。

手術如期進行,口腔科手術團隊小心翼翼將腫瘤剝離,其缺損的半側下頜骨用一塊重建鈦板進行支撐,口腔里大塊組織缺損使用頸部頸闊肌皮瓣進行修復……經過五個小時,一期手術完美收工。

▲術前術后對比
術后,經過醫護團隊的精心治療與管理,劉女士恢復良好。從她的臉正面照來看,左右兩側基本對稱。半年后便可以做腓骨游離皮瓣重建其下頜骨,種植牙修復缺牙,便可恢復面型及咬合功能,過上正常的生活。
自2016年以來,柳州市人民醫院口腔科已完成游離皮瓣手術200余例。隨著診治經驗的積累,目前已形成一套精準的術前評估、精細的術中操作、科學的術后管理等在內的規范化診治流程,為各類頜面腫瘤患者帶去了希望,幫助他們回歸正常生活。