
用骨盆上的髂骨做一個新的下巴給患者裝上,乍一聽,是不是有點不可思議?近日,柳州市人民醫院口腔科完成了一例高難度下頜骨重建手術,在為患者切除腫瘤的同時,還利用3D模擬技術成功完整修復了下頜骨,讓患者重拾生活的希望。
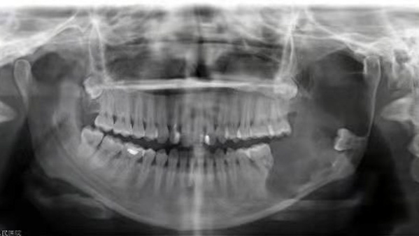
患者小張(化名)是一位年輕女性,因左側下頜骨漸大2月余到我院口腔科就診,檢查后被確診為下頜骨成釉細胞瘤,該腫瘤多發生在下頜骨,以下頜體、下頜角多見,腫瘤進一步發展可侵犯周圍軟組織。

據口腔科副主任醫師劉彥杰介紹,由于患者腫瘤侵襲的范圍較大,徹底治療只能截斷下頜骨切除腫瘤。但這就意味著,術后將會出現明顯的面部塌陷,即便用軟組織修復,也會影響面部和口腔功能進食、說話都受影響……
“患者非常年輕,她還有很長的路要走,所以我們思考更多的是如何在切除腫瘤后仍能保留口腔功能和容顏。”劉彥杰說,為此口腔科專家團隊進行了深入探討,剛開始考慮用腓骨(小腿骨)為患者重做一個下頜骨來恢復面部輪廓外形,但是取出腓骨后患者的腿上會留下很長一道疤痕,對女性患者來說是非常不美觀的,所以最后我們選擇取髂骨來修復,后期再種植上牙齒,不僅可以恢復口腔功能,更能恢復患者的容貌。

頜骨外形不規則,將髂骨塑形為下頜骨的形狀非常困難,稍有誤差,不但影響患者外形,還會出現咬合紊亂的情況……這是一臺只許成功不許失敗的手術,所有環節都容不得一點馬虎,為了能夠精細塑形,口腔科專家采用了先進的3D模擬技術制作出各個截骨引導板,在術前進行多次模擬重建手術,確保萬無一失。


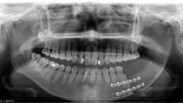
手術當天,口腔科手術團隊首先按照術前設計并3D模擬的截骨導板對下頜骨及腫瘤精準切除;再根據術前設計的髂骨截骨導板精準取骨和精準切割塑形拼接,后把移植骨的動脈和靜脈在顯微鏡下吻合到頸部的動脈和靜脈血管上,重建血循環,恢復功能,經過十多個小時的努力,終于圓滿完成了下頜骨缺損重建。

該例復雜的髂骨重建下頜骨手術得以成功實施,是柳州市人民醫院口腔科頜面外科團隊高超技術實力的證明,通過先進的輔助手段,讓很多傳統手術的方式發生了改變,不僅能為患者“治病”,還能滿足患者在頜面功能保留和美觀方面的需求,讓患者能夠高質量回歸正常生活。