近日,在柳州市人民醫院的手術室里,上演了一場精細入微的生命奇跡。多學科團隊成功為一名體重僅有1.46kg、患有食管閉鎖的早產兒實施了復雜而精細的“經胸膜外入路食管閉鎖端-端吻合術”。經過緊張而有序的手術過程以及后續細致入微的術后康復照護,小生命萱萱(化名)展現出了驚人的生命力,身體狀況逐漸好轉,最終迎來了順利出院的溫馨時刻。
一波未平,一波又起
近日,萱萱因“胎兒宮內窘迫”通過剖宮產手術在柳州市人民醫院產科順利誕生,盡管其出生時還未足月,體重僅有1.46kg,但她的到來依然為全家帶來了新生命的喜悅與希望。
鑒于出生后的萱萱孕周小、體重低,她被立即轉入新生兒科接受進一步治療。轉入新生兒科不久后,萱萱出現了呼吸困難的癥狀,此時兒科醫務人員考慮她患上了新生兒呼吸窘迫綜合征,于是立即采取無創輔助通氣(nCPAP)的治療措施。但萱萱在治療過程中又出現了一個更為棘手的問題:因為呼吸困難,需要放置胃管進行輔助喂養,防止吸入性肺炎的發生,然而,經過多次嘗試,都沒能成功置入胃管。
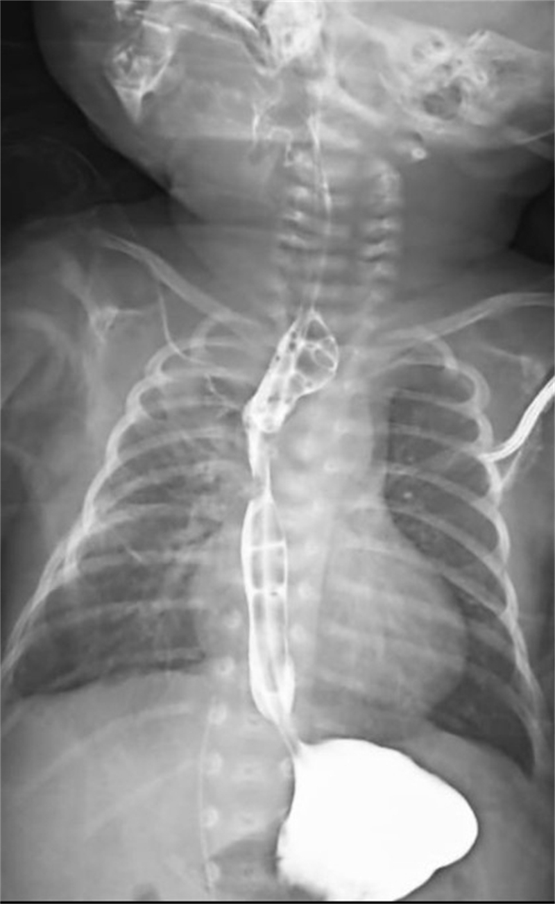
面對這一突發情況,經驗豐富的新生兒科醫生立即警覺:萱萱有可能患有少見且嚴重的新生兒先天性疾病——食管閉鎖。為了盡快明確診斷,新生兒科與小兒外科討論后,緊急聯系放射科為萱萱安排了消化道造影、CT掃描等全面檢查。最終,檢查結果明確診斷:先天性食管閉鎖Ⅲ型伴食管氣管瘺。

多學科協力解難題
醫生介紹,先天性食管閉鎖是一種嚴重的先天發育缺陷,主要表現為胎兒發育過程中食管上下段之間未能正常連接,或出現了食管與氣管異常連接(即食管-氣管瘺)。此類疾病屬于新生兒急癥之一,必須在出生后數天之內進行準確的診斷與治療,以避免患兒進一步發展為重癥肺炎、腹腔感染、消化道穿孔,乃至多器官功能衰竭,產生嚴重不良后果。
面對如此緊急和復雜的病情,新生兒科和萱萱父母有著同樣的擔憂:萱萱才出生兩天,還是早產兒、出生體重不足三斤,本身病情就不穩定,她能承受得了全麻開胸手術治療嗎?
得益于柳州市人民醫院成熟、高效的多學科聯合診療(MDT)模式,所有牽掛著萱萱病情的專家們火速集結起來了:新生兒科、小兒外科、放射科、麻醉科、產科……大家根據自己的專業知識建言獻策。經過討論,專家們一致認為:手術必須盡快進行,但萱萱病情復雜,早產兒手術操作要求精細、麻醉難度大,術后監護和營養管理要求極高。

前路雖難,行則將至。面對萱萱父母的信任,各科室通力合作、齊心協力,目的只有一個:讓萱萱得到及時而優質的治療。新生兒科細致地進行圍術期準備,麻醉科精準地設計麻醉方案,小兒外科選擇了操作難度高、但術后并發癥更少的“胸膜外入路”手術方案。最終,只有3天大的萱萱,順利接受了歷時1小時30分鐘的“經胸膜外入路食管閉鎖端-端吻合術”,術后轉回新生兒科開始后續的監護治療。
堅強寶寶向陽新生
術后僅1天,萱萱便能通過留置胃管接受腸內營養支持。在新生兒科醫護人員的精心照料下,術后3周復查消化道造影顯示手術切口愈合良好,萱萱終于可以自己吃奶啦!

出院時,堅強的萱萱寶寶體重已增長到2.12kg,各項生長發育指標良好。更令人欣喜的是,在出院后的半個月隨訪中了解到,萱萱的生長發育情況持續穩定,她的未來充滿了陽光和希望。

萱萱獲得成功救治的案例,充分展示了柳州市人民醫院新生兒科、小兒外科在處理先天發育異常及新生兒圍術期管理等方面的卓越能力,再次印證了柳州市人民醫院始終秉持技術精進的理念,以及“人民醫院為人民”的服務宗旨。未來,醫院將繼續致力于提升醫療技術水平和服務質量,讓每一位患兒都能享受到優質的診療服務,為孩子的健康成長保駕護航。