近日,柳州市人民醫院通過多學科聯合診療,成功救治一名子宮內膜癌直腸轉移的患者,患者及家屬對治療結果非常滿意。“感謝柳州市人民醫院,醫護人員不僅技術精湛,服務也非常周到,我現在身體舒服了,精神也好了。”黃女士(化名)說道。
四處求醫無果,竟是患上罕見疾病
46歲的黃女士,因為反復便血、貧血、頭暈在外院就診,多次檢查都無法明確病因,治療也沒有好轉,痛苦不堪的她了解到柳州市人民醫院有多學科聯合診療(MDT)模式,抱著最后一線希望,她來到柳州市人民醫院婦科就診。

經過完善相關檢查,醫生發現黃女士的病情并不簡單,是子宮內膜癌直腸轉移合并子宮巨大腺肌癥。醫生一邊安慰黃女士,一邊耐心地向她解釋,子宮內膜癌直腸轉移侵犯至腸腔粘膜導致反復便血,子宮巨大腺肌癥導致子宮增大如孕5月余大小,病情比較嚴重,雖然這類疾病比較罕見,但是醫院可以采用MDT模式治療該類棘手疾病,需要盡快入院治療。
多學科聯合診療,全力保障患者安全
患者入院后,婦科立即組織胃腸外科、腫瘤科、醫學影像科、臨床營養科、麻醉科組成MDT團隊,討論并制定周密、詳細的診療計劃。

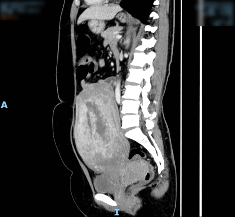
患者術前CT影像
在MDT討論中,醫生考慮患者的子宮內膜癌直腸轉移為惡性腫瘤,子宮直腸窩腫物侵犯至直腸粘膜層,與陰道后壁關系致密,伴腹腔多發淋巴結轉移,需要實施“全子宮+雙附件+手術分期+減瘤術”將腫瘤整塊切除,盡量減少破瘤而入。同時,還要將直腸、直腸窩腫物一并整塊切除,并行預防性造瘺,待直腸吻合口愈合后還納。
MDT團隊為患者制定了個體化的治療方案、護理計劃和措施,并將病情和治療方案與患者及家屬做了充分溝通,打消了患者的思想顧慮。
精準診療,點燃生命希望
術中,醫生發現患者的情況比想象中的更加復雜:直腸連同腫瘤及子宮包裹成團,子宮后方、直腸窩、腸管間正常解剖和間隙被完全破壞,合并臍部轉移可能,患者子宮巨大,手術可操作空間小,且侵犯直腸,分開切除解剖結構不清,存在瘤腫破碎進一步引起種植轉移可能。
經過MDT團隊進一步討論,醫生決定斷除子宮部分韌帶后將子宮體提出腹腔,增加操作空間,同時將子宮動脈游離,減少出血及損傷的風險。胃腸外科團隊膽大心細,憑著豐富的手術經驗在雜亂僵硬的腫瘤區域游離直腸周圍間隙,婦科團隊繼續游離宮旁、陰道旁間隙、行“逆行子宮切除術”,將子宮、直腸、腫物整塊完整切除,成功拆除了威脅患者生命的“定時炸彈”。

根據腫瘤治療原則,婦科團隊完成子宮內膜癌分期手術、腸段切除后,胃腸外科團隊仔細檢查留存腸段,行直腸低位吻合,為預防吻合口瘺風險,同時行右下腹部末段回腸雙腔造口術,讓患者避免排糞改道造成的生活不便和心理打擊。
在MDT團隊術前術后的通力協作和密切關懷下,黃女士順利通過了子宮內膜癌根治術、腸吻合術、造瘺術、術后感染、低蛋白血癥、電解質紊亂等重重難關的考驗,終于恢復了健康,等待后續的治療。柳州市人民醫院細致專業的服務讓黃女士及家屬豎起大拇指,高度贊揚醫院的高超醫技和仁心仁術:“感謝柳州市人民醫院MDT團隊給了我與病魔戰斗的勇氣,讓我更有信心面對后續的治療!”

醫生介紹,子宮內膜癌是中國女性生殖系統惡性腫瘤中的第二位,其中不乏一些60歲以上的高齡患者,存在著基礎疾病多,多系統疾病同在的可能性,為疾病的治療增加了許多的困難。柳州市人民醫院以人民為中心,依托多學科團隊,共同協作,制定規范化、個體化、連續化的綜合治療方案,為患者的健康保駕護航。
醫生提醒:女性一定要時刻關注身體情況,定期到醫院進行婦科檢查,如發現異常,及時到專業醫院進行規范化診療,避免延誤病情。