近日,柳州市人民醫院創傷骨科成功實施了柳州市首例“反向全肩關節置換”手術。為年逾八旬的患者江爺爺(化名)解除了病痛。這是醫院在肩關節外科領域技術的又一重大突破,也為廣大受肩關節疾病困擾的患者帶來了福音。


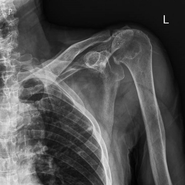
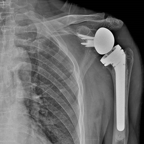
▲術前術后對比
江爺爺因車禍導致左肩疼痛伴活動受限,遂在家人陪同下到柳州市人民醫院創傷骨科就診,經CT檢查后,發現患者左肩袖損傷、左側肩峰骨折、左肩關節脫位,傷情非常嚴重。
“這種情況保守治療的效果不會太好,為最大程度恢復肩關節功能,就需要為患者進行左側反向全肩關節置換手術。”創傷骨科副主任舒文介紹,反向全肩關節置換手術是將組成整個肩關節的肱骨頭、肩胛骨關節盂全部換成人工的,并將肱骨頭與肩胛骨關節盂位置對調——假體的“肱骨頭在上、肩胛骨關節盂在下”,和人體真正的肩關節方向相反。這是近年國際上用來治療巨大不可修復肩袖損傷等復雜肩關節疾病的最新、有效技術。
創傷骨科手術團隊詳細研究了江爺爺的各項檢查資料,確定患者身體條件符合“反向全肩關節置換”的適應癥,并進行了多次術前討論、會診,精心設計手術方案,確保手術能夠萬無一失。

幾天后,江爺爺被推進了手術室,由于進行了多次預演,手術過程非常順利,術中處理關節面、置入假體,關節穩定不易脫位,透視見假體位置良好,修補重建肩袖和關節囊……一個多小時以后,手術圓滿結束。

目前,江爺爺已經成功出院進入術后康復階段,疼痛感大大減輕,肩關節也漸漸能夠活動了,相信通過一段時間的康復治療,他便能徹底告別病痛,回歸正常生活。
此例“反向全肩關節置換”的開展在柳州市尚屬首例,在廣西也十分罕見,是柳州市人民醫院創傷骨科長時間技術沉淀的結果,科室將繼續引進新技術、拓展新項目,提升醫療技術水平和服務能力,讓更多患者能夠享受到新技術帶來的療效與便利,為健康柳州建設助力。