視力下降不一定是用眼過度,還有可能是長了腦垂體瘤所致。日前,44歲的韋先生就因視力急劇下降來到柳州市人民醫院就診。
韋先生說,自己8個月前開始漸漸感覺到視力下降,但當時并沒有特別在意,以為是用眼過度疲勞,便自行購買眼藥水滴液使用。沒成想,視力不但沒有好轉,反而持續加重。直至一個月前,他連一米外的東西都看不清了,遂輾轉多家醫院問診,通過CT檢查出腦內竟然長了一個垂體瘤。

“難道視力下降是腦垂體瘤引起的?”帶著疑問,韋先生最終選擇來到柳州市人民醫院神經外科就診。醫生檢查發現,患者視力下降的原因確實是因為垂體瘤壓迫視神經交叉引起的。
市人民醫院神經外科主任葉遠良博士介紹,垂體是位于顱底垂體窩內,直徑0.6-1.0cm,垂體承上啟下,銜接下丘腦及各內分泌腺,分泌人體內的各種激素,對人體代謝、生長、發育和生殖等發揮重要作用。當垂體出現腫瘤時,就會影響激素分泌和激素發揮作用,從而引起各種癥狀。比如男性的性功能下降,女性不明原因的閉經、泌乳,手腳肥大、變黑變丑、視力下降等等。

鑒于垂體瘤起病隱匿,診斷困難及手術并發癥多等特點,市人民醫院于2022年5月特別成立了“垂體腫瘤MDT團隊”,團隊包括神經外科、內分泌科、放射科、腫瘤科、病理科及檢驗醫學科等多學科,提出了垂體腫瘤全程規范化管理理念。首先,內分泌科需要對垂體腫瘤進行功能診斷(主要包括腫瘤分泌功能和垂體功能評估);檢驗醫學科檢測患者相關激素;放射科提供垂體影像評估;神經外科手術切除腫瘤;病理科明確病變性質;腫瘤科對殘留病變治療;內分泌科和神經外科負責術前術后查房及出院后患者隨診。

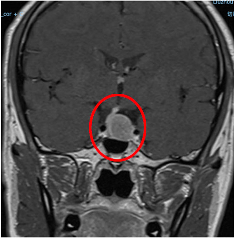
患者病灶大小約為13mm×23mm×20mm,考慮垂體大腺瘤。為徹底解決韋先生面臨的難題,垂體腫瘤MDT團隊開展了多次討論,認為患者病變累鞍內及鞍上,侵襲視交叉及兩側海綿竇受壓,建議手術治療。
內分泌科團隊術前對患者的垂體功能與內分泌代謝水平進行全面評估,通過檢測患者的相關激素分泌水平,為患者整個治療過程制定了個體化的方案。神經外科手術團隊采用神經內鏡下經鼻腔-蝶竇的微創手術方式成功為患者切除垂體腫瘤病變。病理科團隊對腫瘤標本進行病理檢查,明確了腫瘤的病理學類型為無功能性的垂體腺瘤。腫瘤科團隊結合術中情況及病理類型進行綜合評估,確認患者術后不需要行藥物治療或放射治療。

術后復查,韋先生內分泌激素水平正常,視力也恢復了。隨著視力一點點清晰起來,他對柳州市人民醫院醫護人員表示由衷的感謝。
目前,韋先生已成功出院,隨診結果也一切正常。
多學科診療模式是提高垂體腫瘤患者生活質量非常有效的方法,柳州市人民醫院垂體腫瘤MDT團隊對多例垂體腫瘤患者進行全程管理,打破學科壁壘,高效整合優勢資源,在診療過程中環環相扣,為患者帶來優質、專業的診療服務,徹底解決垂體腫瘤帶來的煩惱。