“之前躺在床上都喘不上氣,現在快步行走都沒問題了,這種重獲新生的感覺真好。”近日,梁老伯(化名)在家人的陪同下來到柳州市人民醫院心血管內科復診, 經檢查,其心臟功能一切良好,再也不用為“心病”所困擾了。
梁老伯的健康問題始于半年之前,他只要輕微的活動就會出現胸悶、氣促、脹痛的癥狀,到了夜間更加難熬,每當平臥時,都會出現陣發性呼吸困難,嚴重影響到正常生活。


為解決此問題梁老伯來到了柳州市人民醫院心血管內科就診,行心臟彩超檢查發現患者左心室舒張末內徑81mm,左心室射血分數只有22%。冠脈造影提示右冠脈近段狹窄60%,前降支近段狹窄70%。初步診斷為慢性心功能不全急性加重、冠狀動脈粥樣硬化性心臟病 、心律失常-完全性左束支傳導阻滯。經規范藥物治療2月后,復查心臟彩超射血分數僅僅升高至33%,仍有明顯活動后氣促等心衰癥狀。

“患者經規范藥物治療后,活動后氣促癥狀沒有緩解,心臟射血分數仍低于35%,心電圖提示完全性左束支阻滯,QRS波時限174ms。動態心電圖可見陣發室性心動過速。符合CRT-D植入術適應征。”柳州市人民醫院心血管內科主任劉艷麗博士解釋道,“心衰使許多患者的左右兩個心室不再‘齊步走’,心臟功能也隨之變得越來越差。而心臟再同步化治療(CRT)可以協調心室恢復正常節奏,增加這類心衰患者的心排血量,改善心功能,降低患者的再住院率和死亡率,是終末期心衰有效治療手段。”

CRT-D(心臟再同步除顫器)是在CRT的基礎上,與ICD(植入型心律轉復除顫器)結合,兼具除顫和起搏的雙重功能。對高猝死風險的心衰患者,在心衰治療和猝死預防中都具有很好的效果。有助于改善心衰癥狀、提高生活質量、延緩病程、改善預后及降低死亡率。



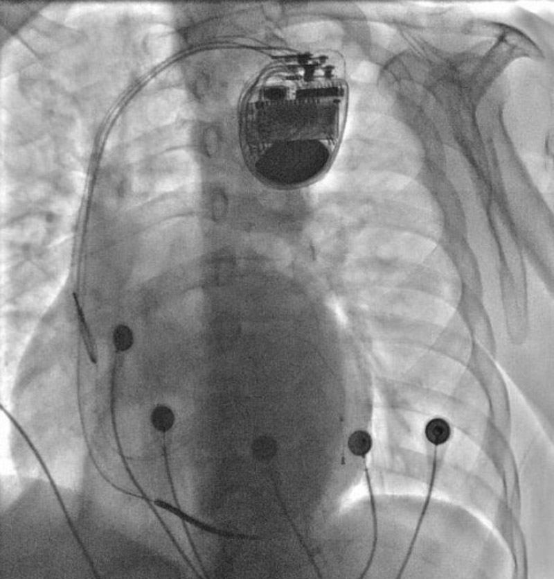
心血管內科電生理團隊經過術前詳細的手術方案討論和制定,術中精準操作,成功完成了心臟再同步化除顫起搏器CRT-D植入術。術后復查心電圖示QRS波恢復到119ms,明顯變窄,患者心臟功能及癥狀較手術前顯著改善。
該術式是目前起搏器及除顫領域中的“終極挑戰”,在挽救心力衰竭患者生命的同時,能夠極大程度地改善患者生活質量。柳州市人民醫院心血管內科將繼續促進學科發展和科室人才梯隊建設,以醫療質量為核心,為更多心衰患者帶來“心”的希望。