2021年10月21日,柳州市人民醫院心血管內科成功利用電動可回收功能的輸送系統為一例高冠脈風險、主動脈弓夾角小的患者完成經導管主動脈瓣置換術(TAVR),此為柳州市首例利用電動可回收輸送系統的TAVR手術,將為廣大患者的手術安全提供了更大保障。
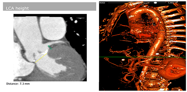
術前CT評估發現患者左側冠脈開口低(7.3mm)、瓣葉過長、冠脈風險過高,同時患者主動脈弓夾角小,輸送系統過弓風險極大。

為保證手術順利進行,心血管內科負責人劉艷麗帶領科室團隊與其他相關科室MDT合作,進行術前討論,最終給患者選用VitaFlow Liberty全球唯一的電動可回收輸送系統,并行左冠脈保護。
術前醫生對患者進行耐心宣教、消除緊張情緒,麻醉科、超聲科、介入護士緊密配合,每一個手術環節都為成功奠定了基礎。

21日上午,在多學科協作下,柳州市人民醫院心血管內科陳見紅、苗柳、王勇,麻醉科王小平,超聲科陳超容團隊經過2個小時緊張有序的操作,取得了TAVR手術圓滿成功,術后患者即刻清醒。


術后患者復查心臟彩超提示主動脈瓣狹窄完全解除,心臟縮小、心功能明顯好轉。
目前患者已康復順利出院。心血管內科團隊對經導管主動脈瓣置換術(TAVR)技術熟練的運用,為廣大主動脈瓣狹窄患者帶來福音。
柳州市人民醫院2019年開展TAVR以來,是整個桂中桂北地區開展TAVR手術例數最多的一家醫院。心血管內科負責人劉艷麗介紹:相比傳統的開放手術,經股動脈的TAVR手術優勢明顯,不需要開胸、失血量少,麻醉時間短,微創傷恢復快。并且和原來回病房蘇醒比較,目前可以做到術后即刻清醒拔管。心血管內科TAVR團隊將繼續與麻醉科、超聲科、影像科、心臟血管外科、介入護理通力合作,打造一流的TAVR診療團隊,持續開展TAVR手術,幫助更多的患者恢復健康,享受高質量的晚年生活。