洗牙是什么?
洗牙有什么作用?
洗牙可以美白牙齒嗎?
洗牙多久洗一次更好?

3月20日“世界口腔健康日”中的“3/20”包含三層意思:一是“8020”目標,當人們80歲時擁有20顆自然牙;二是兒童應當有20顆乳牙;三是成人有32顆牙齒,其中0個齲洞。這些數字組合起來,便構成了3/20,旨在倡導和鼓勵人們重點關注口腔健康與全身健康的緊密而復雜的聯系,對自己的口腔健康更加負責。隨著口腔科普工作的逐步開展,越來越多人開始重視口腔健康和口腔保健。其中,洗牙便是一項廣受關注的技術,“到底要不要洗牙”也是大多數人被告知要去洗牙時的疑惑。
今天,就讓我們一起聊聊那些“洗牙二三事”。
一、洗牙,洗掉的是什么?

洗牙,專業術語齦上潔治術,是指用潔治器械去除牙齦上牙石、菌斑和色漬,并磨光牙面,以延遲菌斑和牙石再沉積。也稱潔牙、牙齒潔治,一般指齦上潔治,其實“洗”的是牙結石。
口腔是一個有菌環境,生活著如奈瑟球菌、鏈球菌等細菌。刷牙后12小時內細菌就會黏附于牙面、牙間和修復體表面,或口腔其他軟組織上,黏性基質和嵌入其中的細菌便會形成不能被水沖去或漱掉的牙菌斑生物膜。

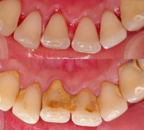
一般牙菌斑在形成后1~14天內開始鈣化,開始是形成乳白色的軟垢,后逐漸形成牙結石,經過一段時間的鈣化作用,牙結石會逐漸變硬,從而牢固地附著于牙面之上,形成陳舊性牙結石。而牙結石的存在不僅影響牙齒的美觀,還會導致牙齦紅腫、出血、口臭、甚至牙齒的松動、脫落。齦上超聲潔治的作用便是通過超聲震動將牙結石震碎,再配合水霧沖洗,并使用刮治器去除牙結石。 去除牙結石可以防止牙結石刺激導致的牙齦炎癥,進一步預防牙齦炎和牙周炎的發生。因此,齦上潔治對于牙周健康的保障十分重要。
二、洗牙的常見誤區
01
“我每天都認真刷牙,為什么還要去洗牙呢?”
道理其實很簡單,就和我們需要洗衣服、洗車、給家里搞衛生一樣,任何事物使用久了都會堆積細菌、灰塵、污垢……
我們的口腔中有數百種細菌,它們會形成牙菌斑,每天吃的食物會留下殘渣,它們會在一起慢慢形成牙結石,這些牙結石會刺激牙齦從而發生炎癥。可能有人要說了,那我們不是每天都在刷牙嗎,這不是已經在清潔了?
但就像我們每天都掃地拖地,過年過節也得做個大掃除一樣,總有些邊邊角角是我們日常清潔不到的。比如牙刷就刷不到牙縫。而且很多人刷牙時沒有采用科學的刷牙方式,牙齒內側靠近牙齦的地方根本刷不到,這也是很多人容易長牙結石的地方。
02
“洗牙會損傷牙釉質,讓牙齒更敏感?”
洗牙后確實會出現牙酸反應,牙酸癥狀很正常,是常見的洗牙并發癥,造成這種癥狀的原因多半是因為牙結石以及牙菌斑被清除后,牙根暴露,對外界刺激敏感,也就是說患者極有可能本身即患有不同程度的牙周炎。通常這種癥狀會持續兩三天后消失,患者不需要過度擔憂。建議洗牙后要注意飲食方面的管理,不要吃冷熱酸甜刺激性大的食物,也不要撕咬硬物,可以使用脫敏牙膏刷牙,癥狀會減輕很多。所以,洗牙后牙釉質并不會受到損傷,而且在洗牙完成后一般會進行拋光處理,讓牙釉質變得更光滑,避免食物殘渣以及軟垢的再次快速堆積。


“洗牙”前后,鵪鶉蛋殼表面的色素沉積被去除,而蛋殼依然完好無損。
03
“洗牙會讓牙齒變白嗎?”
潔牙可以使牙齒表面看起來更加白凈,但對于牙齒本身的顏色則無法做到太多改變。如果牙齒表面的色垢是由于后天色素沉積導致的,如吸煙、喝茶、咖啡等深色飲料等,是可以通過噴砂進行處理的。噴砂能把附著在牙齒上的茶垢、煙垢及食物軟垢清理干凈,噴過砂的牙齒非常光潔,且不易再次沉積牙石。而如果需要牙齒美白,可以考慮冷光美白等治療方法。

04
“洗牙會導致牙齒松動嗎?”
有些患者在潔牙治療完成之后,會覺得牙齒有些松動,但這松動本身并非由潔牙操作引起。而是因為長時間不進行齦上潔治,牙結石嚴重堆積,堆積的牙結石誘發牙周組織炎癥,炎癥引起牙齦退縮、牙槽骨的廣泛吸收、牙周支持能力降低。此時去除牙結石,牙齒本身失去支撐,因此牙齒會出現松動。
若發生這種情況,不必避諱潔牙治療,而應該積極治療牙周病,控制牙齦萎縮和牙槽骨吸收,從而緩解牙齒松動的情況。
三、總結
牙菌斑和牙結石是導致口腔牙周疾病的罪魁禍首之一,而定期潔牙可以幫助我們有效去除牙菌斑和牙結石。

因此定期口腔檢查很重要。當然,更建議大家每年至少洗牙一次。可以保護牙周健康,緩解牙周病進展,減輕牙周疾患!另外,我科潔牙門診長期開診,歡迎預約體驗。
柳州市人民醫院口腔科專家出診時間:
宋勇:周五上午(門診4樓C區11診室)
王俊林:周一上午(門診4樓B區13診室)
(以上圖片來源于網絡,如有侵權,請聯系刪除)
編輯:潘艷玲
審稿:宋勇 覃沅華
審核:護理部 房惠惠