在繁忙的工作生活中,27歲的上班族小程(化名)最近遭遇了一個不小的煩惱:他的牙齒變得又黃又發白,看起來很不美觀,這讓他在與人交往時變得不自信,甚至不敢開口說話。近日,他來到柳州市人民醫院口腔科,尋求專業醫生的幫助。

小程的煩惱源于他近兩年來的一個不良習慣。由于工作壓力大,他逐漸養成了用可樂等碳酸飲料代替水的習慣,基本上每天都要喝上兩瓶。起初,他并沒有覺得這樣有什么問題,但隨著時間的推移,他發現自己的牙齒開始變得越來越黃,早晨刷牙時還會感到特別酸軟,嘴里總有一股怪味,影響他的工作和生活。

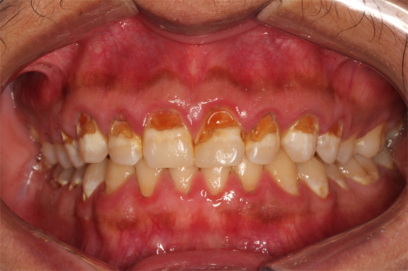
當小程走進柳州市人民醫院口腔科時,心情是忐忑不安的。但在這里,他遇到了認真負責、技術精湛的主診醫師。醫生耐心地詢問了他的病史,并進行了詳細的口腔檢查和X線片檢查。經過一番仔細的檢查后,醫生告訴小程,他患上了一種叫做“可樂牙”的牙齒疾病,臨床上也稱為牙齒酸蝕癥。這是由于長期飲用含糖量高、酸性強的碳酸飲料所導致的牙齒問題。
醫生告訴小程,雖然他的牙齒問題比較嚴重,但還沒有侵蝕到牙髓,因此還是可以通過一系列的治療手段來恢復牙齒的健康和美觀的。經過首席專家團隊的嚴密討論,決定為小程實施全口牙周潔治、涂氟預防以及樹脂充填修復的個性化治療方案。

治療過程中,醫生展現出了極高的專業素養和認真負責的態度。通過細致的牙周潔治、涂氟預防,小程一周后復診自覺嘴巴味道小了很多。然而,由于小程缺損的牙齒太多,為了確保治療效果和患者的舒適度,醫生決定采用分區修復的方法。在橡皮章的嚴密隔濕下,醫生進行了樹脂分層修復。

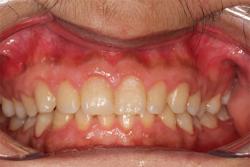
經過幾周的治療,小程終于看到了自己牙齒的顯著變化。他的牙齒變得更加潔白、有光澤,而且再也沒有了之前的酸軟和異味問題。當他再次站在鏡子前微笑時,他看到了自己久違的自信和笑容。這一刻,他深深地感激柳州市人民醫院口腔科的醫生和護士們,是他們用專業的技術和認真負責的態度幫助他重拾了自信和微笑。

通過這次治療經歷,小程也深刻地認識到了保護牙齒的重要性。他表示,以后一定會改正不良的生活習慣,多喝水、少喝碳酸飲料,并定期到口腔科進行檢查和保健。而柳州市人民醫院口腔科也將繼續以專業的技術和優質的服務,為更多需要幫助的患者帶來健康和微笑。
科普小課堂
一、牙齒酸蝕癥的危害有哪些?
1.牙齒變色:初期可能出現牙齒表面發黃、斑駁,甚至出現半月形白斑。
2.牙齒敏感:牙齒對冷、熱、酸、甜等刺激變得敏感,甚至出現疼痛。
3.牙齒缺損:隨著酸蝕的加重,牙齒表面會出現缺損、裂紋,甚至牙冠大面積缺損。
二、如何預防牙齒酸蝕癥?
1.減少酸性飲用頻率:盡量減少碳酸飲料的攝入量,避免將其當作日常飲用水。飲用碳酸飲料時,建議使用吸管,減少飲料與牙齒表面的直接接觸。飲用后漱口,喝完碳酸飲料后,不要立即刷牙,而是用清水漱口,等待半小時后再刷牙。
2.注意刷牙:建議使用軟毛牙刷,使用含氟牙膏。
3.控制飲食:減少酸性飲食的攝入。
4.定期口腔檢查:定期訪問牙醫,進行口腔檢查,及時發現并處理牙齒問題。
三、如何治療牙齒酸蝕癥?
◆ 癥狀較輕時,可以采用局部脫敏處理。
◆ 缺損較嚴重時可采用樹脂充填或修復治療。
◆ 侵蝕治牙髓時,應先做牙髓治療后再行后期修復。